☎ +7 916 985-16-54
UNICLINICA пн-пт 8:00-20:00 мск, сб-вс 8:00-17:00 мск
google play app store
Наши соц. сети
☎ +7 916 985-16-54
UNICLINICA пн-пт 8:00-20:00 мск, сб-вс 8:00-17:00 мск

Новости

Представленное корейскими учеными исследование изу
Воспалительный процесс является одним из пусковых
Первичная простатическая саркома встречается редко
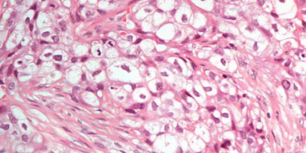
Плазмоцитоидная уротелиальная карцинома (PUC) &nda
Половое созревание у мальчиков, в организме кото
Окислительный стресс (OS) считается причиной многи
Связь между эндотелиальной дисфункцией и возрастны