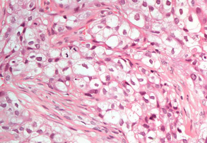
Первичная простатическая саркома встречается редко и составляет менее 1% от всех злокачественных опухолей простаты. Заболевание манифестирует чаще всего симптомами нижних мочевых путей вследствие внешней обструкции мочевого пузыря. Простатический специфический антиген (ПСА), как правило, нормальный. Гистологическое подтверждение и стадирование с использованием компьютерной томографии и магнитной резонансной томографии имеют существенное значение для планирования лечения. Дифференциальная диагностика проводится с саркоматоидным раком простаты и доброкачественными опухолями spindle cell.
Первичная простатическая саркома часто агрессивна и требует мультимодального лечения, включающего хирургическое вмешательство с (нео)адьювантной лучевой и\или химиотерапией. Риск локального рецидива высок и долговременный прогноз неблагоприятный.
Der Urologe. Ausg. A. 2017 Mar 27
A Herlemann, D Horst, M D'Anastasi, A Kretschmer, C G Stief, C Gratzke
Primary prostatic sarcoma - a rare malignancy.
Материал подготовлен Т. Аристовой (врач уролог высш. квалиф. категории)

