☎ +7 916 985-16-54
UNICLINICA пн-пт 8:00-20:00 мск, сб-вс 8:00-17:00 мск
google play app store
Наши соц. сети
☎ +7 916 985-16-54
UNICLINICA пн-пт 8:00-20:00 мск, сб-вс 8:00-17:00 мск

Расшифровка кт

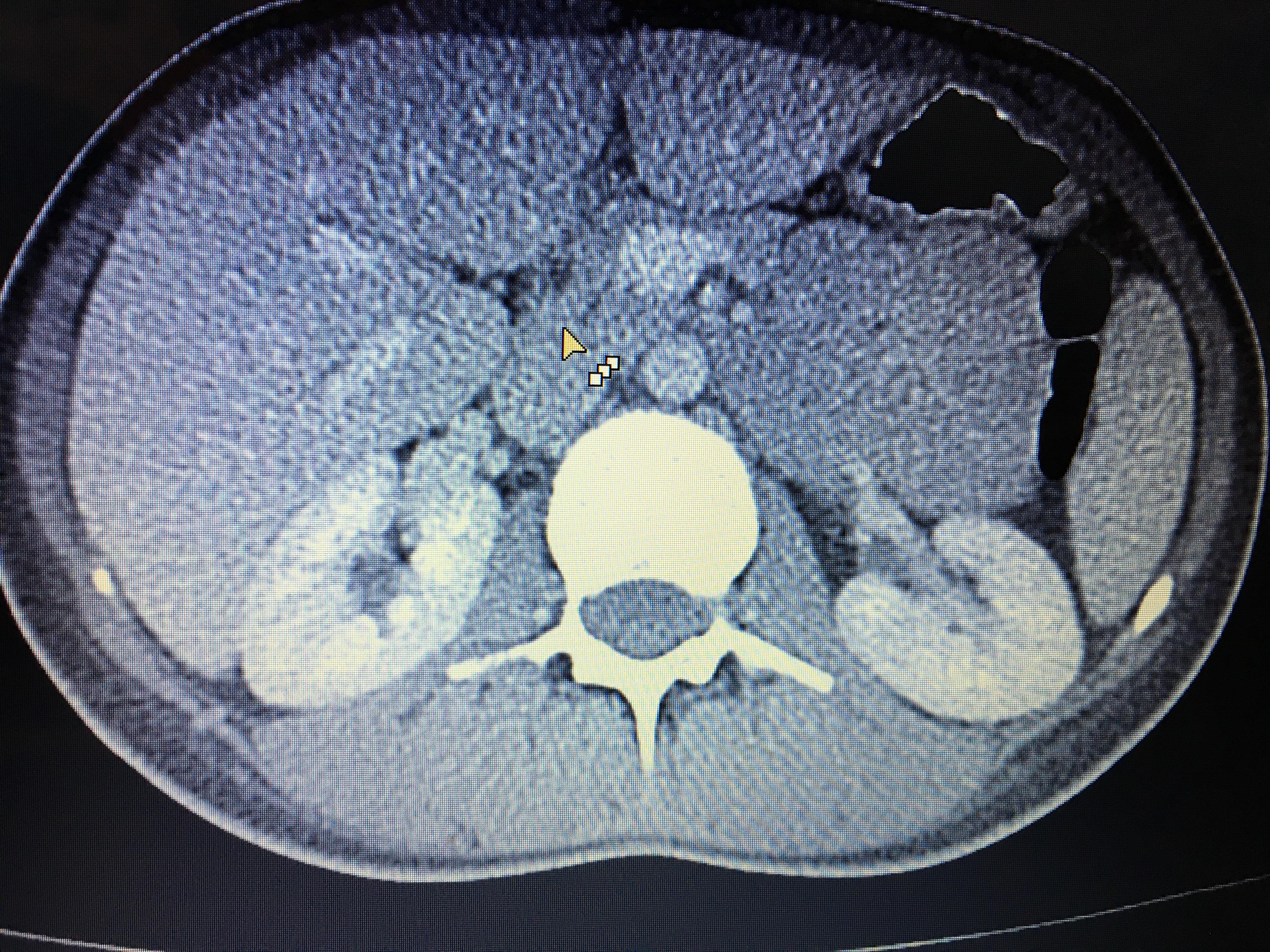
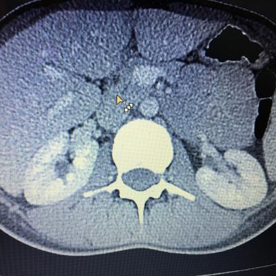
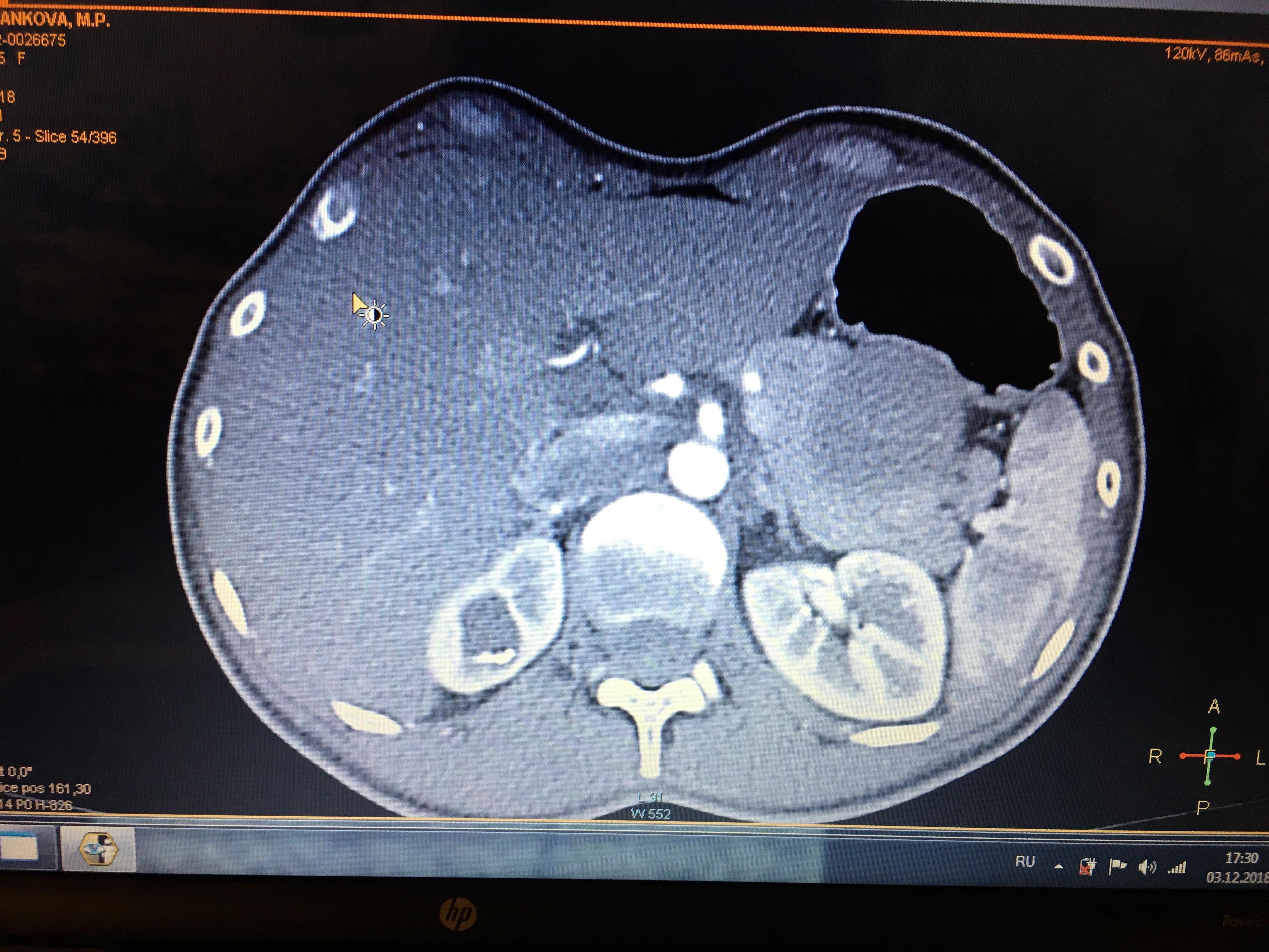
Здравствуйте,помогите, пожалуйста, с расшифровкой кт почек с контрастом. Насколько я поняла, в левой почке маленький камешек. А что за образование в правой почке? Киста с кальцинированной стенкой или камень? Спасибо за ответ!
3 декабря 2018 - 18:38
Просмотров: 251

Ответ врача

Здравствуйте! На последнем снимке - больше данных за конкремент. Но при описании снимков должны определяться плотность образования, и нет изображения ни одного фрагмента ни одного из мочеточников. И самих снимков обычно бывает больше. Недостаточно данных для заключения.
Похожие ответы: