☎ +7 916 985-16-54
UNICLINICA пн-пт 8:00-20:00 мск, сб-вс 8:00-17:00 мск
google play app store
Наши соц. сети
☎ +7 916 985-16-54
UNICLINICA пн-пт 8:00-20:00 мск, сб-вс 8:00-17:00 мск

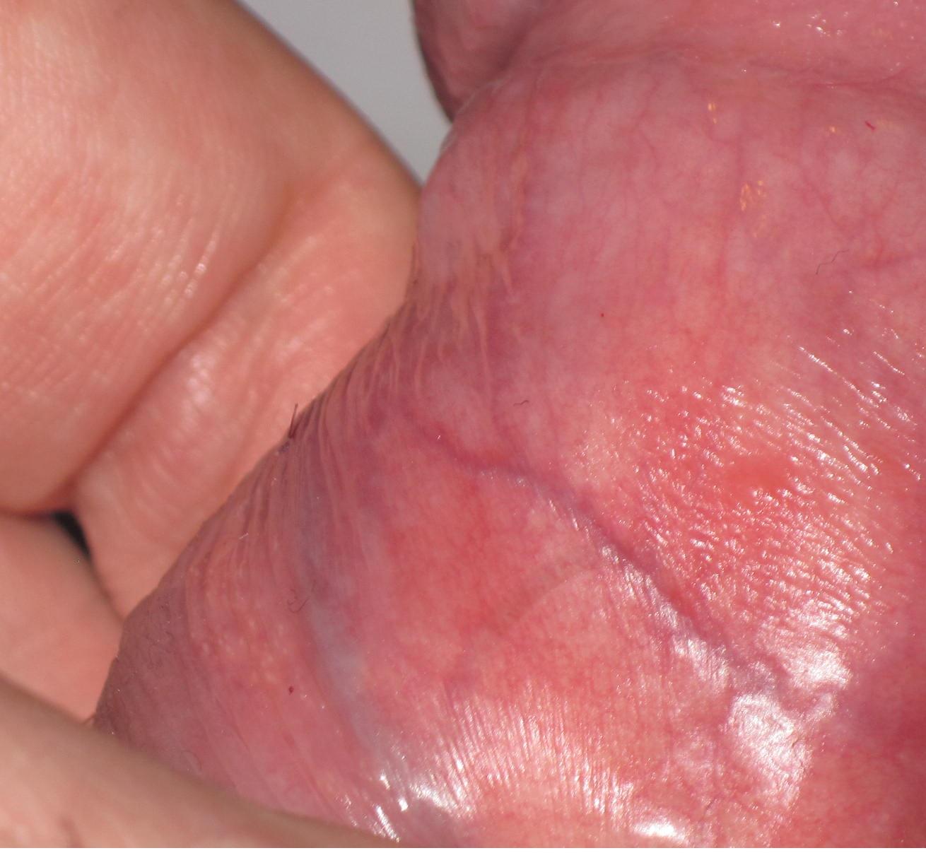
Воспалилась сальная железа?

Добрый день,
На члене под крайней плотью появился прыщик с белой головкой. Это сальная железа закупорилась?? Чем помазать??
Михаил
12 февраля 2013 - 19:09
Просмотров: 489

Ответ врача

Не надо мазать, посетите уролога или хирурга.