☎ +7 916 985-16-54
UNICLINICA пн-пт 8:00-20:00 мск, сб-вс 8:00-17:00 мск
google play app store
Наши соц. сети
☎ +7 916 985-16-54
UNICLINICA пн-пт 8:00-20:00 мск, сб-вс 8:00-17:00 мск

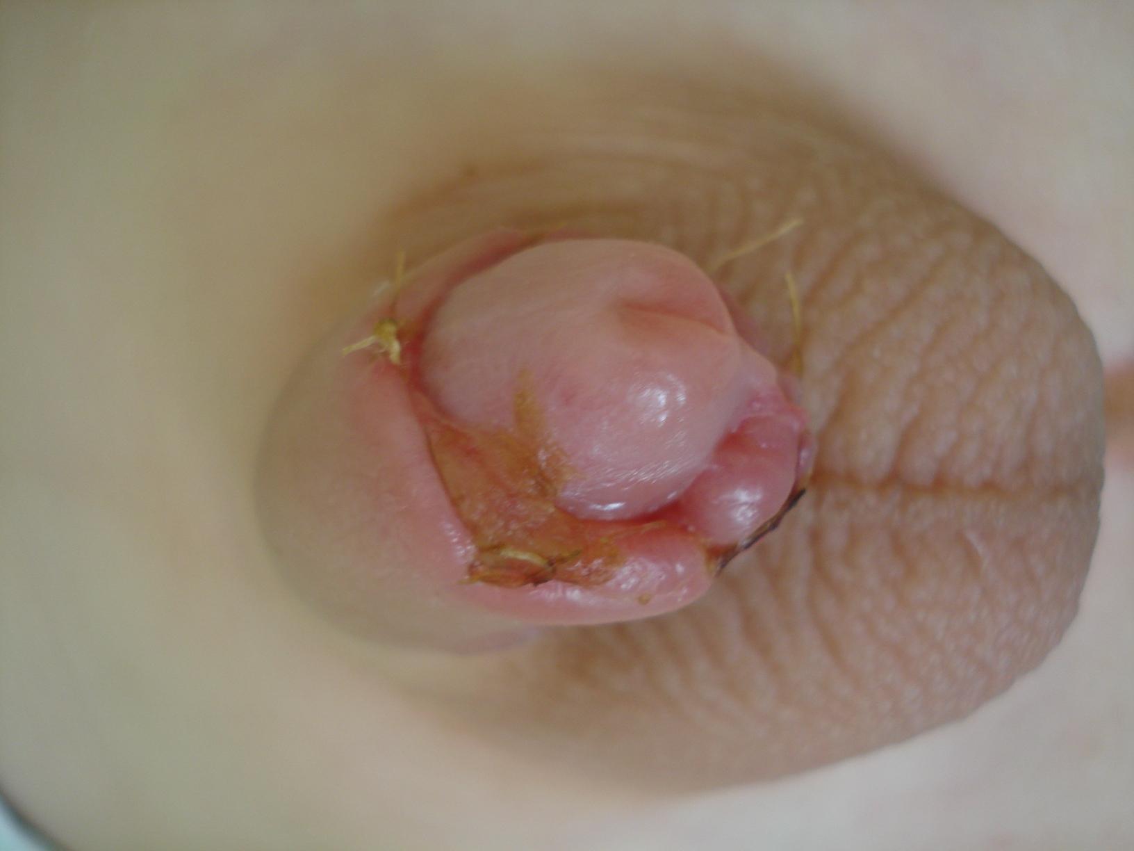
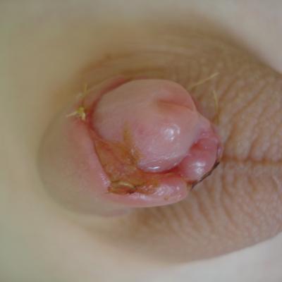
Как выглядит половой член после обрезания

Здравствуйте! Моему малышу 2 года и 5 месяцев. Под кожей полового члена была смегма. 21 мая сделали обрезание, смегму почистили. Повязку сняли на следующий день (рекомендация врача). Половой член был отёкшим. Сейчас отёк почти спал, на некоторых участках сохраняется фибрин, корочки как при заживании раны,торчат нитки. Всё бы хорошо, только смущает, что крайняя плоть после обрезания фиксируется швами чуть выше головки полового члена - это нормально? То есть головка видна, но "шляпка грибочка" чуть прикрыта крайней плотью. Откроется ли головка полность к окончанию заживления или произошла спайка? Что делать, если спайка? (сразу после операции вид члена был симпатичным). Заранее спасибо!
30 мая 2010 - 20:51
Просмотров: 9954

Ответ врача

Ничего страшного нет. Это нормальный послеоперационный период после образания. Отек спадет, головка полового члена откроется, со временем швы отойдут, рубец будет не виден.