☎ +7 916 985-16-54
UNICLINICA пн-пт 8:00-20:00 мск, сб-вс 8:00-17:00 мск
google play app store
Наши соц. сети
☎ +7 916 985-16-54
UNICLINICA пн-пт 8:00-20:00 мск, сб-вс 8:00-17:00 мск

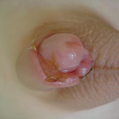
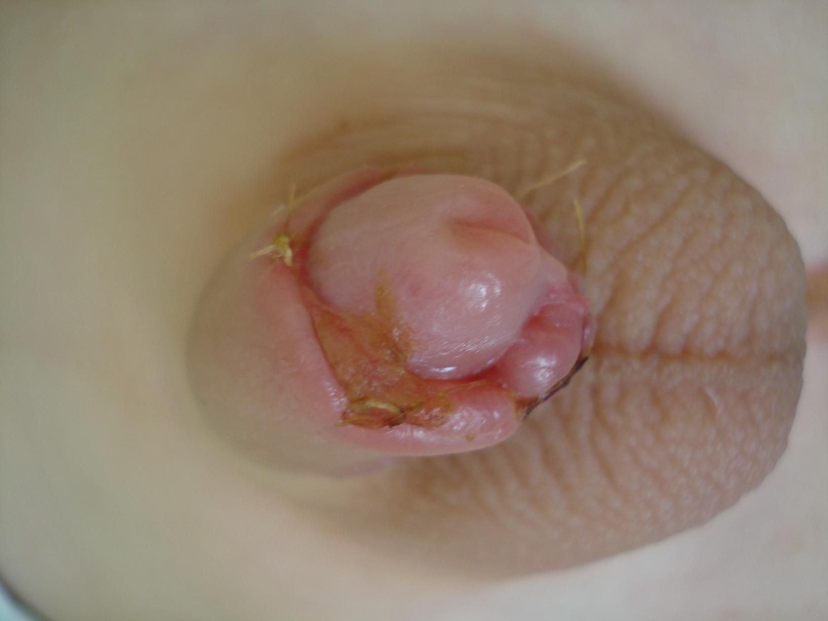
Про вид полового члена после обрезания (дополнительный вопрос, фото материал)

Моему малышу 2 года и 5 месяцев. Сделано обрезание 21 мая. Крайняя плоть после обрезания фиксируется швами чуть выше головки полового члена - это нормально? Что нам нужно сделать, если это не норма? Спасибо заранее!
30 мая 2010 - 14:49
Просмотров: 6613

Ответ врача

На фото в целом всё в порядке, вмешательства никакого не нужно, но нужен ещё уход за раной под наблюдением доктора.
Похожие ответы: